Pgs.Ts.Bs Lê Nghi Thành Nhân, Ts.Bs Đặng Lê Hoàng Nam
Khoa Ngoại CTCH-LN, Bệnh viện Trường ĐH Y Dược Huế
Gai xương phía sau xương sên có thể là một kết quả của xương sên phụ phía sau xương sên không cốt hóa hoàn toàn hoặc là hậu quả của một tình trạng chấn thương, vi chấn thương lặp đi lặp lại do cơ chế bị nén ép phía sau xương sên gây ra bởi cạnh trên xương gót và mắt cá sau xương chày.
Khi gai xương phía sau xương sên này cọ xát lâu dài vào gân gấp ngón cái dài và bao khớp sau của cổ chân sẽ gây ra hội chứng bắt chẹn phía sau cổ chân.
Hội chứng bắt chẹn phía sau cổ chân gây ra do gai sau xương sên (hội chứng Os Trigonum) thường xuất hiện ở độ tuổi trẻ, khoảng 20 – 35 tuổi. Triệu chứng chủ yếu bao gồm mất vận động chủ động cổ chân, đau mơ hồ trong cổ chân sau, đau tăng khi gấp cổ chân về phía gan chân và đặc biệt khi gấp ngón chân cái. Đau thường bị làm nặng bởi tình trạng chịu lực như đi bộ trên mặt phẳng gồ ghề, đi xuống cầu thang, hoặc đi bộ trên mặt phẳng dốc. Khi các triệu chứng dai dẳng bất chấp nỗ lực điều trị bảo tồn như nghỉ ngơi tương đối, dụng cụ ép cổ chân, lạnh liệu pháp và thuốc kháng viêm đường uống thì phẫu thuật lấy bỏ gai xương sau xương sên được chỉ định.

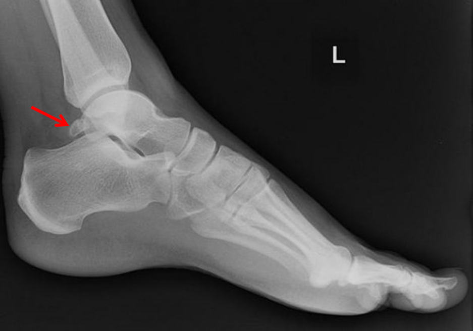
Hình ảnh gai sau xương sên trên X Quang
Trước đây phẫu thuật mổ hở là phẫu thuật thường gặp để lấy bỏ phần gai xương, tuy nhiên phẫu thuật mổ hở hay gây ra các biến chứng như tổn thương bó mạch thần kinh chày sau, nhiễm trùng, thời gian nằm viện kéo dài…
Tại Khoa Ngoại Chấn Thương Chỉnh Hình - Lồng Ngực, Bệnh viện Đại học Y Dược Huế, từ tháng 9/2019, các Bác sĩ đã bắt đầu triển khai kỹ thuật nội soi khớp cổ chân trong điều trị hội chứng bắt chẹn phía sau cổ chân gây ra do gai sau xương sên, với kỹ thuật nội soi khớp cổ chân sẽ tránh được các nhược điểm của phương pháp mổ hở thông thường, qua đó nâng cao hiệu quả điều trị và rút ngắn thời gian nằm viện cho bệnh nhân. Các bệnh nhân tái khám sau phẫu thuật đều cho kết quả tốt.
Ứng dụng kỹ thuật nội soi khớp cổ chân trong điều trị hội chứng bắt chẹn phía sau cổ chân gây ra do gai sau xương sên tại Bệnh viện Đại học Y Dược Huế đã bắt kịp xu hướng điều trị ở các nước tiên tiến trên thế giới và chưa được triển khai rộng rãi tại Việt Nam, góp phần nâng cao chất lượng điều trị, đem lại cuộc sống tốt đẹp hơn cho bệnh nhân.
Một số hình ảnh

Hình 1: Bệnh nhân Nam 28 tuổi
A & B: Khối gai xương sau xương sên trên X quang trước mổ và hình ảnh nội soi trong mổ (mũi tên đỏ)
C: Hình ảnh tổn thương viêm gân gấp ngón cái dài trong mổ

Hình ảnh sau mổ trên X quang và vết mổ

Hình 2: Bệnh nhân Nam 45 tuổi
A: Hình ảnh khối gai xương trên X quang trước mổ (mũi tên đỏ)
B: Hình ảnh khối gai xương trong nội soi (mũi tên đỏ) và hình ảnh viêm gân gấp dài ngón cái và bao khớp sau
C: Hình ảnh X quang sau mổ
_6a05a0edd377a.jpg)

