Khoa Tai mũi họng - Mắt - Răng hàm mặt, Bệnh viện Trường Đại học Y-Dược Huế
Răng hàm lớn thứ 3 hay còn gọi là răng khôn, là răng mọc cuối cùng trên cung hàm và ở độ tuổi trưởng thành 18 – 25, đây độ tuổi xương hàm không còn phát triển nữa nên có thể gây nhiều tai biến cho bệnh nhân. Trong đó răng khôn hàm dưới thường gây nhiều biến chứng phức tạp và nặng nề cho người bệnh hơn so với răng khôn hàm trên, nhất là trường hợp răng khôn mọc ngầm, lệch. Đã có nhiều công trình nghiên cứu ở Việt Nam và trên thế giới về răng khôn hàm dưới. Theo nghiên cứu của Archer, tỉ lệ răng khôn hàm dưới mọc lệch, ngầm ở thanh niên Mỹ chiếm khoảng 10 - 20 %, ở Châu Âu chiếm khoảng 20 %. Ở Việt Nam tỷ lệ này cao hơn, theo điều tra Phạm Như Hải trên 2200 sinh viên lứa tuổi 18- 25 tỷ lệ này là 22,8%.
Trong phẫu thuật miệng, phẫu thuật nhổ răng khôn hàm dưới là một thủ thuật thường gặp nhất. Mặc dù với sự phát triển của những kỹ thuật và vật liệu mới, phẫu thuật nhổ răng khôn hàm dưới vẫn dẫn đến những triệu chứng và biến chứng ảnh hưởng đến chất lượng sống của bệnh nhân. Trong y học hiện đại nói chung cũng như chuyên ngành Răng Hàm Mặt nói riêng, mục đích của việc điều trị nhằm giảm các triệu chứng và các biến chứng sau phẫu thuật mang lại sự dễ chịu cho bệnh nhân, nâng cao kết quả điều trị là rất cần thiết. Các biến chứng thường gặp liên quan đến phẫu thuật răng khôn hàm dưới bao gồm: đau, sưng, há miệng hạn chế, chảy máu, nhiễm khuẩn, viêm ổ răng khô, tổn thương thần kinh… và những biến chứng hiếm gặp hơn như tổn thương răng lân cận, gãy xương hàm. Tỷ lệ của các biến chứng này chiếm 4,6 – 8,2% gặp hầu hết trong hoặc sau phẫu thuật, các biến chứng phần lớn là tạm thời, một số trường hợp trở thành vĩnh viễn ảnh hưởng đến hoạt động chức năng.
Một số nỗ lực sử dụng huyết tương giàu tiểu cầu, kháng sinh trước và sau phẫu thuật, áp lạnh, dẫn lưu vết thương, sử dụng các loại vạt khác nhau và phẫu thuật cắt xương bằng dụng cụ quay tốc độ cao hoặc thấp, chườm đá sau phẫu thuật, thuốc giảm đau, corticosteroid và laser có được thực hiện để giảm kết quả hậu phẫu của việc nhổ bỏ răng hàm thứ ba sau phẫu thuật.
Fibrin giàu tiểu cầu (PRF) là vật liệu sinh học tự thân, được phát triển ở Pháp bởi Choukroun và CS (2001), là tiểu cầu cô đặc thế hệ thứ hai chứa tiểu cầu và yếu tố tăng trưởng dưới dạng màng fibrin được điều chế từ chính máu người bệnh và không có biến đổi sinh hóa nhân tạo nào khác.
Fibrin giàu tiểu cầu (Platelet Rich Fibrin) là một khối gồm mạng lưới Fibrin chứa tiểu cầu, bạch cầu và một lượng lớn các nhân tố tăng trưởng bên trong. Các nhân tố này sẽ được phóng thích dần theo thời gian, giúp thúc đẩy quá trình lành thương. Trên thế giới đã có một số công trình nghiên cứu sử dụng Fibrin giàu tiểu cầu trong hỗ trợ điều trị nâng xương ổ răng trong phẫu thuật cấy ghép implant và hỗ trợ lành thương trong điều trị tụt nướu. Fibrin giàu tiểu cầu là một chiến lược mới để tập trung tiểu cầu, có thể được sử dụng để tăng cường sau khi nhổ răng và hình thành u nang còn sót lại và thúc đẩy biểu mô vết thương. Một số nghiên cứu cho thấy Fibrin giàu tiểu cầu giúp giảm đau, giảm sưng hơn trong ngày đầu tiên hậu phẫu, lành thương mô mềm nhanh hơn sau phẫu thuật nhổ răng khôn hàm dưới. Việc ứng dụng màng Fibrin giàu tiểu cầu PRF giúp giảm thương, cầm máu nhanh và đặc biệt đẩy nhanh tốc độ liền thương tại huyệt ổ răng vừa nhổ. Hơn nữa, Fibrin giàu tiểu cầu là sản phẩm tự thân nên không gây các phản ứng miễn dịch thải loại, quy trình chế tạo đơn giản và giá thành rẻ nên dễ được áp dụng tại nước ta.
Tại Việt Nam, các nghiên cứu hầu hết mô tả đặc điểm lâm sàng, X-quang răng khôn hàm dưới mọc lệch, ngầm, còn việc đánh giá hiệu quả của việc áp dụng Fibrin giàu tiểu cầu để thúc đẩy quá trình lành thương cũng như kiểm soát các biến chứng sau phẫu thuật sau khi nhổ răng hàm dưới còn chưa nhiều.
Hiện nay, tại phòng khám Răng Hàm Mặt, bệnh viện trường Đại học Y Dược Huế đã tiến hành ứng dụng Fibrin giàu tiểu cầu (PRF) cho bệnh nhân phẫu thuật nhổ răng khôn hàm dưới, giúp giảm đau, giảm sưng nề và kích thích quá trình lành thương của bệnh nhân.

Phim hàm chếch: Răng khôn hàm dưới bên trái (R38) mọc lệch ngầm 90o

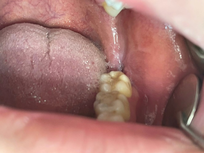
Răng khôn hàm dưới bên trái sau khi được phẫu thuật

Mẫu máu của bệnh nhân trước và sau khi quay li tâm để tạo Fibrin giàu tiểu cầu (PRF)

PRF được đặt vào ổ răng sau khi nhổ


Bệnh nhân tái khám sau 7 ngày, ổ nhổ lành thương tốt, không sưng, không đau
_6a05a0edd377a.jpg)

