1. Trường hợp lâm sàng.
Một bệnh nhân nữ 24 tuổi không có tiền sử bệnh lý và tâm thần, đã được chuyển đến một phòng khám tâm thần vì hành vi bất thường. Bệnh nhân chủ yếu có các triệu chứng trầm cảm, thay đổi tính tình và dễ cáu gắt, tức giận, tâm lý căng thẳng. Bệnh nhân đôi lúc đãng trí với nhận thức kém và mờ mắt.
Bệnh nhân không có tiền sử chấn thương đầu, hay thiếu hụt thần kinh khu trú hoặc bệnh tâm thần, không bao giờ hút thuốc hoặc uống rượu và không sử dụng bất kỳ loại thuốc bất hợp pháp nào.
Khám lâm sàng: Bệnh nhân có định hướng về thời gian, địa điểm và con người nhưng lại kém chú ý và tập trung với khả năng phán đoán kém. Điểm kiểm tra trạng thái tâm thần là 25/30. Huyết áp: 120/70 mmHg, nhịp tim: 70 nhịp/phút. Khám thần kinh, bao gồm cả dây thần kinh sọ và khám toàn thân khác, đều không ghi nhận bất thường. Kết quả xét nghiệm máu trong giới hạn bình thường. Chụp cộng hưởng từ (MRI) sọ não cho thấy một tổn thương tăng tín hiệu rõ ở vùng trán bên trái có kích thước 65x70x70 mm, ranh giới đều, có sự chèn ép nhu mô não lân cận với phù não xung quanh, sau khi tiêm, khối u ngấm thuốc cản quang khá đồng nhất, bên trong có dịch hoại tử không thấm cản quang. Khối u đè đẩy sừng trán não thất bên hai bên, đường giữa di lệch sang phải #23mm, chèn nhẹ chéo giao thị. Những đặc điểm này phù hợp với u màng não thùy trán trái khổng lồ (Hình 1).

Hình 1. Hình 1A. Chuẩn bị bệnh trước mổ, đánh dấu vị trí mổ với u màng não thùy trán trái khổng lồ. Trên phim cộng hưởng từ có thuốc cản quang Hình 1B-1C-1D (mặt phẳng cắt ngang, cắt dọc đứng, cắt dọc ngang) Khối u vùng trán bên trái có kích thước 65x70x70 mm, ranh giới đều, có sự chèn ép nhu mô não lân cận với phù não xung quanh, sau khi tiêm, khối u ngấm thuốc cản quang khá đồng nhất, bên trong có dịch hoại tử không thấm cản quang. Khối u đè đẩy sừng trán não thất bên hai bên, đường giữa di lệch sang phải #23mm
Phẫu thuật sọ não một bên và bóc tách khối u đã được thực hiện. Mục đích của cuộc phẫu thuật là để lấy bỏ hoàn toàn khối u với bảo tồn đầy đủ chức năng cũng như các vùng não xung quanh. Bệnh nhân được đặt ở tư thế nằm ngửa khi phẫu thuật với phần đầu được gắn chặt bằng khung Mayfield. Tóc được cạo sau khi gây mê toàn thân và đánh dấu vị trí của vết rạch da, sau đó sát khuẩn bằng povidone-iodine. Rạch da. Tiến hành khoan xương, khâu treo và mở màng cứng. Khối u được nhìn thấy dính liền với màng cứng và chúng tôi đã lấy bỏ hoàn toàn khối u sau khi bóc tách cẩn thận khối u theo từng mảnh. Cầm máu toàn bộ đã được đảm bảo, màng cứng che phủ, đặt lại nắp sọ và giữ chặt bằng đĩa và vít. MRI sọ não sau phẫu thuật cho thấy khối u đã được lấy bỏ hoàn toàn (Hình 3).
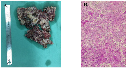
Giải phẫu bệnh: Xác định chẩn đoán u màng não độ I theo WHO (Hình 2)

Hình 2. Hình 2A. Khối u màng não được lấy bỏ hoàn toàn, hình ảnh đại thể khối u sau phẫu thuật. Hình 2B. Giải phẫu bệnh với u màng não WHO độ 1.
Hai tháng sau phẫu thuật, bệnh nhân được chuyển đến khoa ngoại thần kinh để đánh giá và kiểm tra tâm lý thần kinh. Các triệu chứng của bệnh nhân đã được giải quyết sau khi phẫu thuật và chất lượng cuộc sống của bệnh nhân cũng được cải thiện đáng kể.

Hình 3. Hình 3A. Bệnh nhân tái khám sau mổ 2 tháng. Hình 3B-3C-3D (mặt phẳng cắt ngang, cắt dọc đứng, cắt dọc ngang) Cộng hưởng từ sau mổ ghi nhận khối u màng não thùy trán trái đã được lấy bỏ hoàn toàn.
2. Bàn luận
Meningioma là một khối u phát triển chậm của màng não. 90% u màng não là lành tính và chủ yếu xảy ra ở não. Phụ nữ trung niên có nguy cơ mắc u màng não cao gấp đôi nam giới. Hầu hết u màng não xảy ra ở độ tuổi từ 30 đến 70 tuổi. [1] Khối u này thỉnh thoảng xuất hiện ở trẻ em và thanh thiếu niên, nếu không được chẩn đoán sớm và điều trị, khối u này sẽ phát triển thành kích thước khổng lồ và xâm lấn các cấu trúc xung quanh ở tuổi trưởng thành [2]. Không có biểu hiện lâm sàng rõ ràng, khối u này bình thường có thể im lặng. Các nghiên cứu đã chỉ ra rằng trong giai đoạn hoàng thể của chu kỳ kinh nguyệt và mang thai, các u màng não thay đổi về kích thước, và cuối cùng, khi điều trị chủ vận estrogen được hoàn thành, tình trạng này càng trở nên tồi tệ hơn các biến đổi tân sinh có thể liên quan đến mức tiết cao của thụ thể estrogen. [3, 4] U màng não có liên quan đến nhiều hội chứng có khuynh hướng mắc ung thư gia đình liên quan đến các gen liên quan đến NF1, PTCH, CREBBP, VHL, PTEN và CDKN2A. [5, 6]
U màng não thường gây ra các triệu chứng thần kinh, chẳng hạn như đau đầu, co giật, yếu chi trên và chi dưới, thay đổi cảm giác và thị lực. Sự phát triển của tổn thương và vị trí liên quan thường xác định các triệu chứng và dấu hiệu của bệnh nhân.[7] Lampl và cộng sự. và Bommakanti et al. khẳng định mối tương quan có ý nghĩa giữa các triệu chứng tâm thần và vị trí tổn thương. [7, 8] Trầm cảm chủ yếu biểu hiện trong u màng não lồi cầu trước. U màng não vùng đáy và cánh hình cầu biểu hiện chủ yếu với chứng hưng cảm hoặc trầm cảm; và các tổn thương trên sao và u màng não lồi thái dương hầu hết có biểu hiện của rối loạn ảo tưởng. [7] Chụp động mạch trừ kỹ thuật số (DSA) và chụp mạch cộng hưởng từ (MR) là tiêu chuẩn vàng để đánh giá hệ thống mạch máu trước phẫu thuật. [9, 10]
Lựa chọn điều trị là cắt bỏ hoàn toàn khối u (Simpson I) khiu màng não ở vị trí dễ tiếp cận để ngăn ngừa tái phát và cải thiện tiên lượng. Phẫu thuật cắt bỏ những khối u này được coi là một thách thức vì kích thước lớn hơn, vị trí bất thường và sự dính chặt của khối u với các dây thần kinh và mạch máu quan trọng. Về nguyên tắc, tắc tĩnh mạch chậm và mãn tính có thể chịu đựng được tốt, trong khi tắc cấp tính có thể gây ra nguy hiểm cho bệnh nhân. Andrews và cộng sự. Nhấn mạnh thêm về việc bảo tồn dẫn lưu bàng hệ vì mất đột ngột dẫn lưu tĩnh mạch nông do gián đoạn hoặc huyết khối của tĩnh mạch dẫn lưu sau phẫu thuật thường dẫn đến thiếu hụt thần kinh. [11, 12]
3. Kết luận
Việc nhìn thấy u màng não khổng lồ như trường hợp của chúng tôi ở những bệnh nhân còn rất trẻ là khá hiếm. Các triệu chứng lâm sàng rất không điển hình đối với u màng não của thùy trán. Nếu nghi ngờ bất thường về các triệu chứng đau đầu, rối loạn tâm lý nên chụp một phim cộng hưởng từ sọ não và xác nhận một dấu hiệu "đuôi màng cứng" cổ điển của u màng não. Lấy bỏ toàn bộ khối u để ngăn ngừa tái phát và cải thiện tiên lượng của bệnh nhân là phương pháp điều trị được lựa chọn.
Tài liệu tham khảo
1. Gupta RK, R. K. Benign brain tumours and psychiatric morbidity: A 5 years retrospective data analysis. Aust N Z J Psychiatry 2004;38:316-9.
2. Caroli E, Russillo M, Ferrante L. Intracranial Meningiomas in Children: Report of 27 New Cases and Critical Analysis of 440 Cases Reported in the Literature. Journal of Child Neurology. 2006;21(1):31-6.
3. Prabhu VC, Perry EC, Melian E, Barton K, Guo R, Anderson DE. Intracranial meningiomas in individuals under the age of 30; Analysis of risk factors, histopathology, and recurrence rate. Neuroscience Discovery. 2014;2(1).
4. S. Pravdenkova, O. Al-Mefty, J. Sawyer, Husain. M. Progesterone and estrogen receptors: opposing prognostic indicators in meningiomas. J Neurosurg 2006;105(2):163-73.
5. Wiemels J, Wrensch M, Claus EB. Epidemiology and etiology of meningioma. Journal of Neuro-Oncology. 2010;99(3):307-14.
6. M. Simon, J.P. Bostrom, Hartmann. C. Molecular genetics of meningiomas: from basic research to potential clinical applications. Neurosurgery 2007;60(5):787-98.
7. Bommakanti K, Gaddamanugu P, Alladi S, Purohit AK, Chadalawadi SK, Mekala S, et al. Pre-operative and post-operative psychiatric manifestations in patients with supratentorial meningiomas. Clinical Neurology and Neurosurgery. 2016;147:24-9.
8. Lampl Y, Barak Y, Achiron A, Sarova-Pinchas I. Intracranial meningiomas: correlation of peritumoral edema and psychiatric disturbances. Psychiatry Research. 1995;58(2):177-80.
9. d’Avella E, Volpin F, Manara R, Scienza R, Della Puppa A. Indocyanine green videoangiography (ICGV)-guided surgery of parasagittal meningiomas occluding the superior sagittal sinus (SSS). Acta Neurochirurgica. 2013;155(3):415-20.
10. Richard SA, Shrestha SS, Zhang C, Fu W, Wang T, Cong W, et al. Successful Treatment of a Child with Ruptured Arteriovenous Malformation Using Onyx Embolization: A Case Report. Open Journal of Modern Neurosurgery. 2017;07(04):153-63.
11. Andrews BT, Dujovny M, Mirchandani HG, Ausman JI. Microsurgical Anatomy of the Venous Drainage into the Superior Sagittal Sinus. Neurosurgery. 1989;24(4):514-20.
12. Khu KJ, Ng I, Ng WH. The relationship between parasagittal and falcine meningiomas and the superficial cortical veins: a virtual reality study. Acta Neurochirurgica. 2009;151(11):1459-64.
Khoa Ngoại Tiết niệu - Thần kinh
Bệnh viện Trường Đại học Y - Dược Huế
_6a05a0edd377a.jpg)

