Bệnh nhân nữ 22 tuổi bị tai nạn giao thông tối ngày 02/04/2021, được chuyển đến phòng cấp cứu Bệnh viện trường Đại học Y Dược Huế lúc 21h cùng ngày. Ghi nhận lúc vào viện: tỉnh táo, tiếp xúc tốt, mạch 100 lần/phút, nhiệt độ 370C, huyết áp 90/60mmHg. Thăm khám ghi nhận đụng dập mô mềm vùng mặt, tay phải, đau bụng hạ sườn phải, phản ứng thành bụng (+). Bệnh nhân được thực hiện các xét nghiệm máu, siêu âm và cắt lớp vi tính sọ, bụng. Công thức máu: hồng cầu 3,2 T/L, Hb 93 g/L. Siêu âm: nghi ngờ chấn thương gan phải, dịch tự do khoang phúc mạc lượng nhiều. CLVT bụng: chấn thương gan phải độ IV có chảy máu tiến triển ở gan phải, dịch tự do khoang phúc mạc lượng nhiều. Biến thể giải phẫu: thân chung động mạch gan-mạc treo tràng trên. CLVT sọ não không thấy tổn thương nội sọ.
Qua quá trình cấp cứu, truyền máu và theo dõi thấy mạch 90-95 lần/phút, huyết áp giảm dần 80-85/60 mmHg. Bệnh nhân được hội chẩn đa chuyên khoa: cấp cứu, ngoại tiêu hóa và chẩn đoán hình ảnh can thiệp. Chẩn đoán ban đầu: Shock giảm thể tích/ Chấn thương gan độ IV/ Điều trị bảo tồn thất bại. Hướng xử trí theo tinh thần hội chẩn: can thiệp nội mạch cầm máu.
Bênh nhân được can thiệp nội mạch lúc 1:00 sáng ngày 03/04/2021. Chụp động mạch gan chung thấy ổ xuất huyết hoạt tính từ nhánh HPT VIII và nghi ngờ ở HPT VI, tương ứng với các vùng khuyết tưới máu. Chọn lọc nhánh HPT VIII bằng microcatheter, nút mạch bằng gelfoam. Chọn lọc nhánh HPT VI, nút mạch theo kinh nghiệm (empiric embolization) bằng gelfoam.
Sau can thiệp, bệnh nhân được theo dõi kỹ tại đơn vị ICU. Huyết động ổn định dần. Ngày thứ 2 sau can thiệp ghi nhận bệnh nhân tỉnh táo, tiếp xúc tốt, còn đau âm ỉ hạ sườn phải, bụng mềm. Mạch 100 l/p, nhiệt độ 370C, huyết áp 100/60mmHg. Xét nghiệm có hồng cầu 3,34 T/l, HGB 97 g/l. Bệnh nhân tiếp túc được theo dõi tại khoa Ngoại tiêu hóa và được xuất viện sau 9 ngày với toàn trạng cải thiện tốt, huyết động bình thường và còn đau ít ở hạ sườn phải.
Gan là tạng thường bị tổn thương nhất trong chấn thương bụng kín. Chảy máu tiển triển là một biến chứng thường gặp trong chấn thương gan và là nguyên nhân chính gây tử vong. Trước đây, phẫu thuật là lựa chọn duy nhất trong các trường hợp chấn thương gan mà điều trị bảo tồn thất bại. Với sự ra đời và phát triển của các kỹ thuật can thiệp nội mạch bắt đầu từ thập niên 1970 [1]; cùng với sự cải tiến của ống thông, vi ống thông can thiệp và vật liệu nút mạch; can thiệp nội mạch đã chứng minh được vai trò quan trọng trong kiểm soát cầm máu trong chấn thương gan.
Can thiệp nội mạch cầm máu thường được chỉ định trong các trường hợp chấn thương gan độ cao, (độ 3-4 theo phân độ AAST), có bằng chứng xuất huyết tiến triển trên CLVT, điều trị bảo tồn thất bại [2]. Nhiều nghiên cứu báo cáo tỉ lệ thành công của can thiệp nội mạch trong chấn thương gan là 77-100% [3]. Can thiệp thành công cũng giúp giảm lượng máu cần truyền, giảm tỉ lệ tử vong và giảm thời gian nằm viện của bệnh nhân [4]. Tỉ lệ tử vong của các trường hợp được can thiệp theo nhiều nghiên cứu là <6%.
Can thiệp nút mạch trong xử trí chảy máu tiến triển do chấn thương tạng một phương pháp an toàn và hiệu quả. Việc hội chẩn và phối hợp đa chuyên khoa sẽ cho việc lựa chọn điều trị một cách nhanh chóng và chính xác, giảm thiểu tỉ lệ bệnh tật và tử vong trong các trường hợp chấn thương nặng.
(1) Đơn vị chẩn đoán hình ảnh can thiệp-Khoa chẩn đoán hình ảnh.
(2) Khoa Ngoại Tiêu hóa
(3) Trung tâm cấp cứu – đột quỵ
Bệnh viện trường Đại học Y Dược Huế

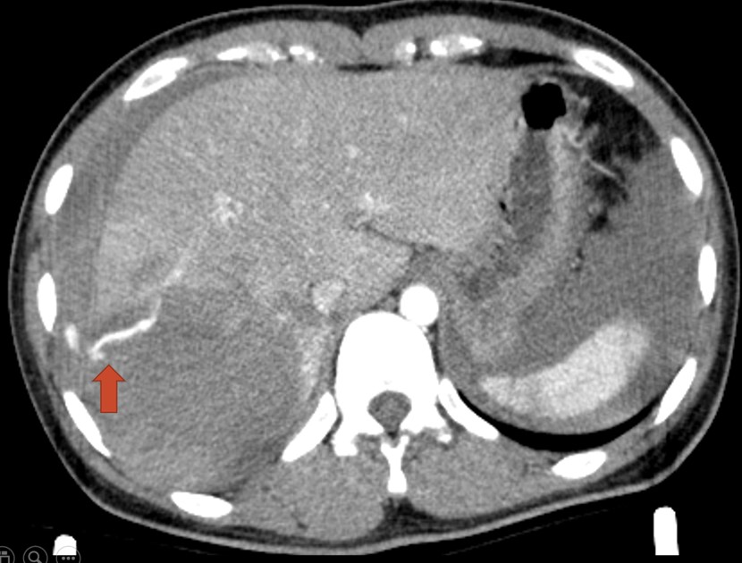
Hình 1. CLVT bụng thì động mạch thấy hình ảnh chảy máu tiến triển từ nhánh động mạch HPT VIII (mũi tên)

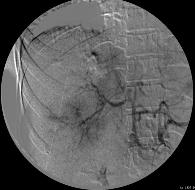
Hình 2. Chụp động mạch gan chung thấy hình ảnh xuất huyết từ nhánh HPT VIII (mũi tên đỏ), nghi ngờ xuất huyết từ nhánh HPT VI (mũi tên xanh), nhiều vùng khuyết tưới máu nhu mô ở gan phải (mũi tên vàng).
Hình 3. Chụp mạch chọn lọc nhánh HPT VIII thấy ổ xuất huyết hoạt tính (mũi tên), nút mạch bằng gelfoam. Nút mạch theo kinh nghiệm nhánh HPT VI.

Hình 4. Hình ảnh chụp động mạch gan sau can thiệp cho thấy không còn các ổ xuất huyết nhu mô gan.
1. Rosch J, Dotter CT, Brown MJ. Selective arterial embolization. A new method for control of acute gastrointestinal bleeding. Radiology. 1972;102(2):303–306.
2. Mohr AM, Lavery RF, Barone A, Bahramipour P, Magnotti LJ, Osband AJ, Sifri Z, Livingston DH. Angiographic embolization for liver injuries: low mortality, high morbidity. The Journal of trauma. 2003;55(6):1077–1081. discussion 81–2.
3. Green, Christopher S. MD, MBA; Bulger, Eileen M. MD; Kwan, Sharon W. MD Outcomes and complications of angioembolization for hepatic trauma, Journal of Trauma and Acute Care Surgery: March 2016 - Volume 80 - Issue 3 - p 529-537.
4. Asensio JA, Demetriades D, Chahwan S, Gomez H, Hanpeter D, Velmahos G, Murray J, Shoemaker W, Berne TV. Approach to the management of complex hepatic injuries. The Journal of trauma. 2000;48(1):66–69.
_6a05a0edd377a.jpg)

