Với sự phát triển của các kỹ thuật hình ảnh hiện đại như cắt lớp vi tính, cộng hưởng từ mật tụy (MRCP), siêu âm nội soi cho phép chẩn đoán nguyên nhân và can thiệp xử trí tắc mật. Tuy nhiên, trong hầu hết những trường hợp tắc mật ác tính, bệnh nhân thường vào viện ở giai đoạn muộn, không còn khả năng phẫu thuật triệt để. Tắc mật kéo dài dẫn đến hoại tử tế bào gan và suy gan nếu như vùng ứ mật >50% thể tích gan. Do vậy dẫn lưu đường mật là một chỉ định cần thiết nhằm giảm áp đường mật, giảm đau, cải thiện triệu chứng và nâng cao chất lượng cuộc sống. Hiện nay có 3 phương pháp dẫn lưu đường mật là phẫu thuật bắc cầu (nối mật ruột), nội soi mật tụy ngược dòng (ERCP) và dẫn lưu đường mật xuyên gan qua da (Percutaneous Transhepatic Biliary Drainage). ERCP là kỹ thuật thường được chỉ định đầu tiên để dẫn lưu mật. Những tiến bộ của ERCP đã giúp giảm đáng kể tỷ lệ tử vong của viêm/ shock nhiễm trùng đường mật từ 88% ngày trước xuống còn <10% hiện nay. Tuy nhiên, trong trường hợp ERCP không thuận lợi như vị trí tắc ở gần rốn gan, thay đổi giải phẫu đường mật sau phẫu thuật hay bệnh nhân có chống chỉ định gây mê thì PTBD là một giải pháp thay thế an toàn và hiệu quả.
PTBD là kỹ thuật can thiệp xâm nhập tối thiểu dưới hướng dẫn của hình ảnh (siêu âm và C-arm/máy chụp mạch xóa nền DSA), được chỉ định rộng rãi trên thế giới. Kỹ thuật này được giới thiệu đầu tiên trên thế giới vào năm 1962 và phát triển rộng rãi từ những năm 1970. Từ đó đến nay đã có nhiều báo cáo cho thấy PTBD có tỷ lệ thành công cao và tỷ lệ biến chứng thấp (4-5%). PTBD có vai trò quan trọng trong giảm áp đường mật, cải thiện triệu chứng và toàn trạng (vàng da, ngứa, tăng Bilirubin), từ đó tạo điều kiện thuận lợi cho phẫu thuật triệt để hoặc hóa trị. Trong trường hợp nhiễm trùng đường mật cấp tính hay shock nhiễm trùng, PTBD được xem là một thủ thuật cứu mạng (life-saving procedure) khi ERCP không tiếp cận được và bệnh nhân có chống chỉ định phẫu thuật. Ngoài ra, PTBD cũng là can thiệp bước đầu trước khi đặt stent đường mật qua da nhằm tái lưu thông đường mật.
Chỉ định của PTBD:
- Dẫn lưu mật giảm áp
- Mở đường tiếp cận vào đường mật để can thiệp điều trị:
· Nong điều trị chít hẹp đường mật
· Lấy sỏi mật
· Đặt stent đường mật
· Lấy mẫu xét nghiệm hoặc sinh thiết, lấy dị vật
- Chụp chẩn đoán bệnh lý đường mật
Kỹ thuật tiến hành:
Hiện nay chúng tôi thực hiện kỹ thuật PTBD bằng phương pháp Seldinger theo như hướng dẫn thực hành của Hội Chẩn đoán hình ảnh can thiệp Hoa Kỳ (SIR).
- Gây tê tại chỗ
- Chọc dò nhánh đường mật hạ phân thùy dưới hướng dẫn của siêu âm bằng kim chọc 21G
- Luồn dây dẫn hair wire vào đường mật
- Đặt sheath 5F vào đường mật theo dây dẫn dưới hướng dẫn của C-arm
- Chụp hình đường mật: đánh giá giải phẫu đường mật, vị trí tắc…
- Luồn dây dẫn 0.035” vào đường mật xuống ống mật chủ. Có thể sử dụng catheter hỗ trợ trong việc luồn dầy dẫn đi xuyên qua vị trí tắc.
- Nong đường hầm bằng Dilator 7-10F
- Đặt catheter dẫn lưu 7-10F vào đường mật.
- Có thể đặt catheter dẫn lưu 1 bên, 2 bên, có lỗ bên, kiểu chữ Y, chữ T tùy theo bệnh lý và nguyên nhân tắc mật.
- Chụp kiểm tra vị trí của catheter.
- Khâu cố định catheter ngoài da.
Tai biến
Các tai biến nặng có thể gặp của PTBD theo hướng dẫn của Hội CĐHA can thiệp Hoa Kỳ gồm: nhiễm trùng máu 2.5%, chảy máu 2.5%, nhiễm trùng khác (viêm phúc mạc, abscess, viêm đường mật, viêm tụy) 1.2%, tổn thương màng phổi 0.5%, tử vong 1.7%. Tỷ lệ tai biến cao hơn ở bệnh nhân có nhiễm trùng đường mật, tắc nghẽn ác tính hay tắc nghẽn gần rốn gan.
Hiện tại, bệnh viện trường Đại học Y Dược Huế đã triển khai đầy đủ các phương pháp điều trị tắc mật gồm phẫu thuật bắc cầu, ERCP và PTBD.
TS.BS. Lê Trọng Bỉnh1, ThS.BS Trần Văn Khôi2, BS. Hoàng Anh Dũng1 và cs.
(1): Khoa Chẩn đoán hình ảnh, (2): Khoa Ngoại tiêu hóa
Hình minh họa

U bóng Vater gây giãn đường mật. PTBD giảm áp đường mật trước phẫu thuật cắt khối tá tụy.

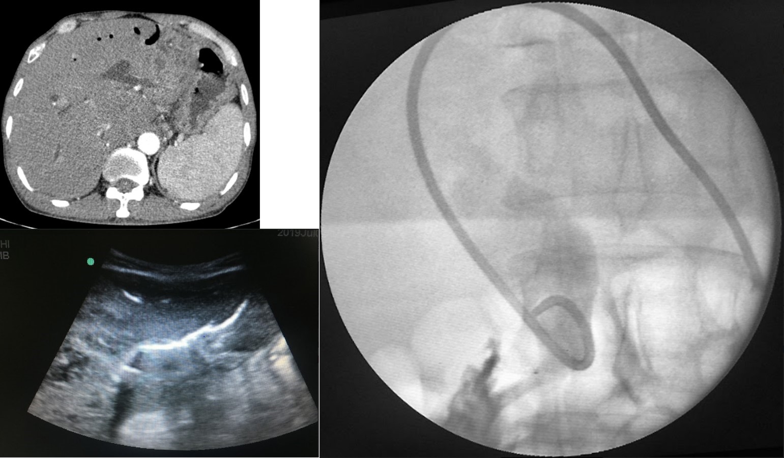
Sỏi ống mật chủ gây shock nhiễm trùng đường mật/ hơi đường mật trong gan. PTBD cấp cứu. Bệnh nhân được phẫu thuật lấy sỏi sau đó.

U đường mật rốn gan (Klatskin type IV) xâm lấn đường mật 2 bên. PTBD hai bên (chữ Y) giảm áp đường mật, cải thiện triệu chứng. Bệnh nhân được hóa trị sau đó.

U đầu xa ống mật chủ. PTBD giảm áp và đặt stent ống mật chủ qua da tái thông đường mật.

U đường mật rốn gan (Klatskin) xâm lấn hai bên. PTBD giảm áp và đặt stent đường mật qua da hai bên hình chữ Y (Y configuration) tái thông đường mật.
_6a05a0edd377a.jpg)

