Bệnh nhân nam, 39 tuổi, nhập viện tại Khoa Cấp Cứu Bệnh viện Đại học Y Dược Huế chiều ngày 10/11/2020 với triệu chứng đau mạn mỡ trái. Tiền sử bệnh nhân sống khỏe. Ghi nhận khi vào viện: mạch 64 lần/phút, HA 120/80 mmHg, hồng cầu 4.66x1012/l, hemoglobin (Hb) 145 g/l. Khám lâm sàng thấy ấn đau mạn mỡ trái, sờ thấy khối 5x6cm. Siêu âm cấp cứu nghi ngờ u thận trái vỡ. Bệnh nhân được chụp CLVT bụng xác nhận nhiều u mạch cơ mỡ (angiomyolipoma - AML) hai thận trong đó có hình ảnh chảy máy hoạt tính ở khối u thận trái (12x9x8cm), tụ máu quanh thận và sau phúc mạc. Xét nghiệm công thức máu trong đêm ghi nhận hồng cầu 3.02x1012/l, Hb 96 g/l, mạch 89 l/p, huyết áp 120/80mmHg. Bệnh nhân được xử trí và theo dõi sát tại phòng hậu phẫu. Sau khi hội chẩn đa chuyên khoa, bệnh nhân được chỉ định can thiệp nội mạch cầm máu cấp cứu trì hoãn.

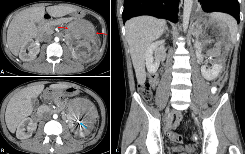
Hình 1. Cắt lớp vi tính bụng chậu thì động mạch (A, C) và thì muộn (B). U mạch cơ mỡ thận trái (mũi tên xanh) với hình ảnh xuất huyết hoạt tính trong u (mũi tên đỏ). Hình ảnh tái tạo VRT (D) cho thấy các mạch máu tăng sinh của AML thận trái.
U mạch cơ mỡ thận (AML) là một loại u thận lành tính chứa các thành phần mạch máu, cơ trơn và mỡ. Những khối AML nhỏ thường không gây biến chứng và không có chỉ định phẫu thuật. Tuy nhiên, đối với nhưng AML lớn, nguy cơ xuất huyết thường khá cao và có nguy cơ tử vong nếu không can thiệp kịp thời. Bệnh nhân này có nhiều khối AML cả hai thận trong đó, khối lớn nhất ở thận trái có dấu hiệu xuất huyết hoạt tính và gây khối máu tụ lớn sau phúc mạc. Việc can thiệp phẫu thuật trong trường hợp này gặp nhiều khó khăn do u và khối máu tụ lớn, nguy cơ mất máu nhiều và phải cắt bỏ thận trái trong quá trình mổ là rất cao. Do đó, can thiệp nội mạch được ưu tiên hàng đầu do tính chất xâm lấn tối thiểu và khả năng giúp bệnh nhân bảo tồn được thận.
Bệnh nhân được giải thích đầy đủ về tình trạng hiện tại, phương pháp điều trị, ưu nhược điểm của phương pháp và các nguy cơ có thể xảy ra. Thủ thuật được tiến hành vào ngày 11/11/2020 (Hình 2).
- Chụp động mạch thận trái thấy khối u lớn ở thùy trên, bên trong có nhiều mạch máu dị dạng giãn ngoằn ngoèo và ổ phình mạch dạng túi. Chọn lọc nhánh mạch nuôi và nút mạch đầu xa bằng hạt vi cầu Embozene 250µm và PVA contour 355-550µm. Nút túi phình mạch bằng coil Interlock 4x8mm. Chụp kiểm tra thấy tắc hoàn toàn nhánh mạch nuôi.
- Tưới máu cho nhu mô thận còn lại bảo tồn.

Hình 2. Hình A và B: Chụp mạch số hóa xóa nền (DSA) động mạch thận trái: Khối u mạch cơ mỡ lớn ở thận trái (mũi tên đỏ) với hình ảnh mạch máu tăng sinh và phình mạch ở cực dưới u (mũi tên xanh). Hình C: đặt coil (mũi tên vàng) vào phình mạch cực dưới u. Hình D: Chụp DSA sau can thiệp: Khối u và phình mạch đã bị nút tắc hoàn toàn không còn dòng chảy.
Sau thủ thuật, bệnh nhân có biểu hiện sốt nhẹ và đau tức bụng và được theo dõi kỹ tại khoa Ngoại Tiết niệu. CLVT bụng (hình 3) sau 3 ngày thấy khối máu tụ giảm kích thước và không còn xuất huyết hoạt tính. Vị trí của coil kim loại cố định không còn tưới máu. Khối u đã giảm đáng kể hình ảnh tăng sinh mạch. Sau 5 ngày, các triệu chứng cải thiện gần như hoàn toàn. Công thức máu có hồng cầu và hemoglobin tăng dần (Hồng cầu 4.66x1012/l và Hb 98 g/l). Bệnh nhân được xuất viện sau 10 ngày điều trị.

Hình 3. Cắt lớp vi tính bụng chậu sau can thiệp 3 ngày. Không thấy xuất huyết, không thấy mạch dị dạng trong u. Khối máu tụ quanh u (mũi tên đỏ) đã giảm kích thước đáng kể, không còn chèn ép tĩnh mạch thận trái. Mũi tên xanh chỉ coil nút mạch.
AML thận là một loại u thận lành tính chứa các thành phần mỡ, cơ trơn và mạch máu. Trên hình chụp mạch, khối u thường tăng sinh mạch với các mạch máu xoắn ốc, các túi phình mạch hoặc shunt động-tĩnh mạch [1, 2]. Do đó, AML có nguy cơ xuất huyết cao, đặc biệt 90% AML lớn >4cm có triệu chứng và nguy cơ xuất huyết cần can thiệp [1].
Hướng xử trí trong trường hợp AML có xuất huyết hoạt tính là kiểm soát xuất huyết và bảo toàn chức năng thận. Các lựa chọn điều trị bao gồm can thiệp nút mạch u, can thiệp đốt u và phẫu thuật cắt u [3]. Trong trường hợp xuất huyết cấp tính, can thiệp nút mạch là một phương pháp giúp ổn định huyết động nhanh chóng, bảo tồn được chức năng thận và xâm lấn tối thiểu [4]. Chỉ định phẫu thuật chỉ khi không loại trừ được chẩn đoán ung thư biểu mô thận hoặc khi không kiếm soát được xuất huyết sau khi can thiệp nội mạch [2].
Trong trường hợp này, vật liệu tắc mạch được sử dụng là hạt vi cầu embozene (tắc mạch đầu xa) và hạt nhựa PVA (tắc mạch đầu gần của u). Detachable coil cũng được sử dụng để nút một phình mạch phát hiện trong quá trình chụp mạch, giảm tối đa nguy cơ xuất huyết sau này. Ngoài ra, chức năng thận của bệnh nhân cũng được bảo tồn tối đa nhờ việc lựa chọn chính xác nhánh mạch nuôi u và bảo tồn các nhánh mạch máu của nhu mô thận bình thường. Các nghiên cứu trên thế giới đã chứng minh hiệu quả cao của can thiệp nội mạch trong AML thận xuất huyết với tỉ lệ cháy máu trở lại cũng như các biến chứng rất thấp [5]. Nghiên cứu của Lee và cs. [6] cũng cho thấy khối u giảm kích thước 33-43% sau can thiệp 6 tháng càng củng cố hơn hiệu quả của phương pháp này.
Đơn vị CĐHA can thiệp – Khoa Chẩn đoán hình ảnh
Khoa Ngoại tiết niệu – Thần kinh
Bệnh viện trường Đại học Y Dược Huế
[1]. Halpenny D, Snow A, McNeill G, Torreggiani WC. The radiological diagnosis and treatment of renal angiomyolipoma—current status. Clin Radiol. 2010;65:99–108.
[2]. Kehagias D, Mourikis D, Kousaris M, Chatziioannou A., Vlahos L. Management of renal angiomyolipoma by selective arterial embolization. Urol Int. 1998;60:113–117.
[3]. Yamakado K, Tanaka N, Nakagawa T, Kobayashi S, Yanagawa M, Takeda K. Renal angiomyolipoma: relationships between tumor size, aneurysm formation, and rupture. Radiology. 2002;225:78–82.
[4]. Mues AC, Palacios JM, Haramis G, Casazza C, Badani K, Gupta M. Contemporary experience in the management of angiomyolipoma. J Endourol. 2010;24(11):1883–1886.
[5]. Ramon J, Rimon U, Garniek A, et al. Renal angiomyolipoma: long-term results following selective arterial embolization. Eur Urol. 2009;55:1155–62. doi: 10.1016/j.eururo.2008.04.025.
[6]. Lee SY, Hsu HH, Chen YC, et al. Embolisation of renal angiomyolipomas:short-term and long-term outcomes, complications and tumour shrinkage. Cardiovasc Intervent Radiol. 2009;32:1171–8. doi: 10.1007/s00270-009-9637-0.
_6a05a0edd377a.jpg)

