Đinh Thị Phương Hoài, Trần Xuân Khải Minh, Huỳnh Kim Thành, Nguyễn Thanh Thiên, Lê Trọng Hiếu, Trần Đức Hoàng, Nguyễn Vĩnh Lạc, Nguyễn Thanh Minh
1. Giới thiệu
U màng não là một trong những khối u nội sọ thường gặp, đặc biệt ở người cao tuổi. Phần lớn u phát triển chậm nhưng khi đạt kích thước lớn có thể gây hiệu ứng choán chỗ, dẫn đến các triệu chứng thần kinh khu trú như yếu liệt, rối loạn tri giác hoặc đau đầu kéo dài.
Ở bệnh nhân lớn tuổi, việc chỉ định phẫu thuật luôn là một thách thức do: Dự trữ sinh lý giảm, nhiều bệnh lý đi kèm (tim mạch, tăng huyết áp…), nguy cơ biến chứng sau mổ cao hơn
Do đó, xu hướng hiện nay là áp dụng các kỹ thuật phẫu thuật ít xâm lấn (keyhole) kết hợp với lập kế hoạch trước mổ bằng hình ảnh 3D nhằm:
- Giảm sang chấn phẫu thuật
- Tối ưu hóa đường tiếp cận
- Tăng độ an toàn và hiệu quả
Công nghệ dựng hình 3D, điển hình như 3D Slicer, cho phép phẫu thuật viên “mô phỏng trước” ca mổ, từ đó đưa ra chiến lược chính xác hơn, đặc biệt trong các trường hợp phức tạp hoặc bệnh nhân nguy cơ cao.
2. Lập kế hoạch trước phẫu thuật bằng công nghệ 3D
Toàn bộ dữ liệu hình ảnh (CT, MRI) của bệnh nhân được xử lý bằng phần mềm 3D Slicer để xây dựng mô hình không gian 3 chiều.
Các bước thực hiện chính
- Phân đoạn (segmentation)
Tách riêng khối u, nhu mô não và các cấu trúc liên quan
Xác định rõ ranh giới u – não lành
- Tái tạo mô hình 3D
Dựng hình khối u và bề mặt vỏ não
Đánh giá vị trí u so với các rãnh cuộn não và vùng chức năng

Hình 1. Lập kế hoạch 3D trước mổ u màng não đỉnh trái bằng phần mềm 3D slicer
- Phân tích đường tiếp cận
Xác định vị trí mở sọ tối ưu
Lựa chọn hành lang phẫu thuật ngắn nhất, ít xâm lấn nhất
Tránh các vùng chức năng quan trọng
- Lập kế hoạch craniotomy (keyhole)
Thiết kế đường mổ nhỏ, chính xác theo vị trí khối u
Ước lượng kích thước nắp sọ tối thiểu nhưng đủ thao tác
- Ý nghĩa thực tiễn
Giảm thời gian mổ
Giảm tổn thương mô não lành
Tăng khả năng lấy u trọn
Đặc biệt có giá trị ở bệnh nhân cao tuổi
3. Kỹ thuật phẫu thuật (Keyhole microsurgery)
Bệnh nhân được phẫu thuật dưới gây mê nội khí quản với mục tiêu lấy trọn khối u, bảo tồn tối đa chức năng thần kinh.

Hình 2. Hình ảnh trong mổ với thiết lập vị trí u qua định vị 3D slicer, tiến hành xác định xương và đường mở da vùng đỉnh trái (vẽ da hình chữ U) (A), Rạch da (B), khoan xương sọ 4 lỗ để mở cửa sổ xương 3x3cm (C), mở màng cứng (D), bóc u vi phẫu (D-E), khâu màng cứng (F), đặt lại nắp sọ (G), đóng da theo các lớp giải phẫu và đặt dẫn lưu (H).
3.1. Tư thế và định vị
Bệnh nhân nằm ngửa, đầu xoay nhẹ sang bên đối diện
Định vị chính xác vị trí u dựa trên hình ảnh đã lập kế hoạch 3D
3.2. Đường mổ và mở sọ
Rạch da nhỏ theo định hướng đã xác định
Mở sọ kích thước nhỏ (keyhole craniotomy)
Bộc lộ tối thiểu nhu mô não
3.3. Tiếp cận khối u
Mở màng cứng theo hướng tối ưu
Tiếp cận trực tiếp khối u theo hành lang đã lập kế hoạch
Hạn chế vén não tối đa
3.4. Bóc tách và lấy u
Giảm thể tích u từ bên trong (internal debulking)
Bóc tách u khỏi nhu mô não xung quanh
Kiểm soát cuống nuôi từ màng cứng
Lấy trọn khối u (gross total resection)
3.5. Kiểm soát chảy máu và đóng
Cầm máu kỹ
Đóng màng cứng kín
Đặt lại nắp sọ và đóng da
Ưu điểm của phương pháp
So với phẫu thuật mở truyền thống:
- Đường mổ nhỏ hơn ; Ít đau sau mổ; Giảm nguy cơ phù não; Thời gian hồi phục nhanh hơn; Giảm thời gian nằm viện
Đặc biệt, ở bệnh nhân 84 tuổi trong trường hợp này, phương pháp giúp:
Phẫu thuật an toàn
Không biến chứng
Phục hồi vận động tốt

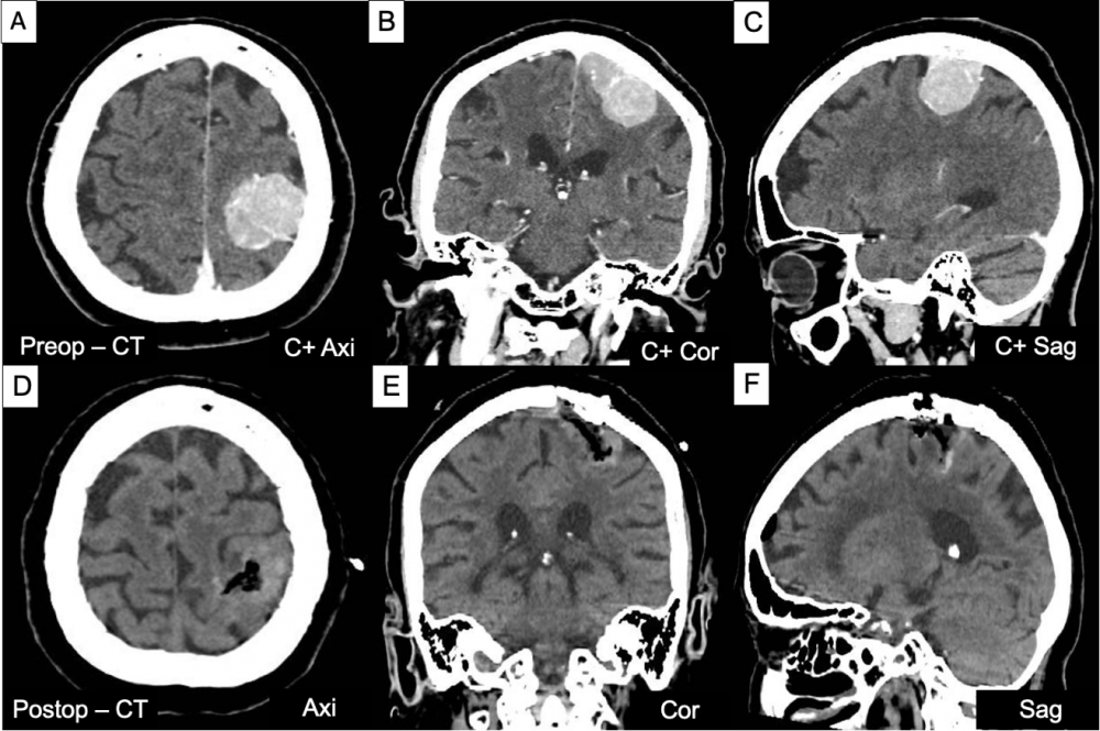
Hình 3. Hình ảnh CT scan trước mổ (A-C) với khối u vùng đỉnh trái kích thước # 4,2 x 3,8 cm và CT scan sau mổ (D-F) khối u đã được lấy bỏ hoàn toàn.
4. Thông điệp lâm sàng
- Công nghệ 3D Slicer giúp “nhìn trước cuộc mổ” → tăng độ chính xác
- Phẫu thuật keyhole giúp “mổ nhỏ nhưng hiệu quả lớn”
- Bệnh nhân cao tuổi vẫn có thể đạt kết quả tốt nếu được cá thể hóa điều trị
- Bs Đinh Thị Phương Hoài – Khoa Ngoại Thần kinh, Bệnh viện Trường Đại học Y Dược Huế -
5. Kết luận
Sự kết hợp giữa lập kế hoạch 3D và phẫu thuật keyhole là hướng tiếp cận hiện đại, an toàn và hiệu quả trong điều trị u màng não, đặc biệt ở bệnh nhân lớn tuổi, giúp giảm sang chấn và rút ngắn thời gian hồi phục.
----
Thông tin liên hệ
Khoa Ngoại Thần Kinh – Cột sống - Bệnh viện Trường Đại học Y Dược Huế
- Điện thoại: Phòng Cấp cứu - 0234 3837777
- Địa chỉ: 41-51 Nguyễn Huệ, TP. Huế
-Website: www.bvydhue.vn


