• 41 & 51 Nguyễn Huệ, phường Thuận Hoá, TP Huế
Cấp cứu 24/7
(0234)3837777
Hotline
0962871919
Phòng TC-HC
(0234)3847146

13

Dec

Thông tin Y tế

Bản tin Thông tin Thuốc & Dược lâm sàng số 06

Bản tin Thông tin Thuốc & Dược lâm sàng số 06

12

Dec

Thông tin Y tế

Mảng “da trâu” khổng lồ ở lưng được phẫu thuật điều trị thành công

(dantri.com.vn)Ngày 11/12, Bệnh viện Trường Đại học Y Dược Huế cho biết vừa phẫu thuật thành công 1 trường hợp liên quan đến kỹ thuật ứng dụng túi căng...

03

Dec

Thông tin hoạt động

Đón tiếp, làm việc với đoàn Hàn Quốc về Quản lí chất lượng Bệnh viện

Chiều ngày 02/12, Bệnh viện Trường Đại học Y Dược Huế vừa có buổi làm việc, gặp mặt với Giáo sư Jung Key Sun và quản lí Kang Min Cheol về vấn đề quản...

02

Dec

Thông tin hoạt động

Hội thảo Khoa học công nghệ Tế bào gốc trung mô từ mô mỡ - Huricell- Hàn Quốc

Nghiên cứu và ứng dụng tế bào gốc nói chung tại Việt Nam đã được khởi động từ năm 1995, từ đó cho đến nay tại các cơ sở y tế những thử nghiệm lâm...

29

Nov

Thông tin Y tế

Chuyển giao công nghệ phẫu thuật nội soi cho Bệnh viện Đa khoa Nghi Xuân

(Baohatinh.vn) - Trong 3 ngày (25 - 27/11), Phó giáo sư – Tiến sỹ Lê Đình Khánh – Trưởng khoa Tiết niệu Bệnh viện Y - Dược Huế đã về khám và chuyển giao công...

29

Nov

Thông tin hoạt động

Giảm thiểu chất thải nhựa tại Bệnh viện Trường Đại học Y Dược Huế

Chất thải nhựa đang hằng ngày tác động tiêu cực đến hệ sinh thái, môi trường sống, sức khỏe con người và sự phát triển bền vững mỗi quốc gia. Trong...

26

Nov

Thông tin Y tế

Bệnh viện Trường Đại học Y Dược Huế triển khai thành công phẫu thuật đặt thể hang nhân tạo cho bệnh nhân rối loạn cương nặng

Rối loạn cương là một bệnh lý tuy không nguy hiểm tính mạng nhưng ảnh hưởng rất nhiều đến chất lượng cuộc sống, không chỉ riêng bệnh nhân mà còn với...

22

Nov

Thông tin hoạt động

Gặp mặt, trao đổi với đoàn Bệnh viện Hiện đại Quảng Châu, Trung Quốc tại Việt Nam

Ngày 21/11 Bệnh viện Đại học Y Dược Huế đã có buổi gặp gỡ, làm việc và trao đổi với Bệnh viện hiện đại Quảng châu, Trung Quốc tại Việt Nam - Đại...

13

Nov

Thông tin Y tế

Tiếp tục phẫu thuật cấy ốc tai điện tử thành công tại Bệnh viện Trường Đại học Y Dược Huế

Ngày 01/11/2019: Bệnh viện Trường Đại học Y Dược Huế tiếp tục phẫu thuật cấy ốc tai điện tử lần thứ mười cho một bệnh nhân: đây là bệnh nhân thứ...

11

Nov

Thông tin Y tế

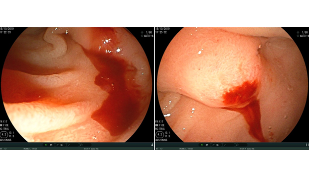
Can thiệp nội mạch cấp cứu một trường hợp vỡ túi giả phình động mạch lách ở bệnh nhân viêm tụy mạn tại Bệnh viện Trường Đại học Y Dược Huế

Bệnh nhân Hoàng Lương T, nam 67 tuổi, được chuyển đến Bệnh viện Đại học Y Dược Huế ngày 15/10/2019 với triệu chứng đi cầu phân đen đã hơn 1 tháng. Bệnh...

|<  1  2  3 ... 73  74  75 ... 87  88  89  >|
THEO DÒNG SỰ KIỆN
Thông tin Hội nghị Khoa học
Hoạt động chào mừng sự kiện

Phòng Vật tư, Thiết bị và Cơ sở vật chất

Thư mời chào giá giường sơ sinh và xe đẩy tiêm cấp cứu

03-02-2026
Phòng Vật tư, Thiết bị và Cơ sở vật chất

Thông báo chào giá Mua dụng cụ

28-01-2026
Phòng Vật tư, Thiết bị và Cơ sở vật chất

Thông báo chào giá Sửa bàn gỗ

27-01-2026
Phòng Vật tư, Thiết bị và Cơ sở vật chất

Yêu cầu chào giá hàng biểu mẫu quý 1/2026

14-01-2026

Tin cập nhật